A vaper has been diagnosed with an incurable form of lung scarring typically found in metal factory workers.
Doctors say the rare disease was likely caused by fumes from the heating coils used in the 49-year-old’s device.
It is the first time hard-metal pneumoconiosis has been linked to vaping. But medics from the University of California, who treated the unidentified patient, warn it should be seen as a new health risk for users.
The woman went to hospital after months of struggling for breath.
She was initially diagnosed with asthma and given an inhaler – but returned in a matter of weeks when her symptoms did not go away.
The patient was eventually diagnosed with hard-metal pneumoconiosis after a CT scan.


A vaper has been diagnosed with an incurable form of lung scarring typically found in metal factory workers. Her lung tissue under the microscope (left) compared to healthy tissue (right)

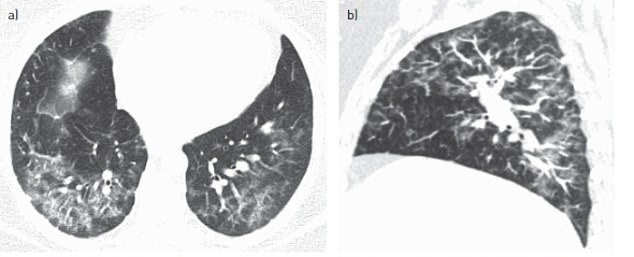
A CT scan revealed the disease had caused damaged lung tissue to engulf other cells and form ‘giant’ cells that can be seen clearly under a microscope (shown as large white lumps)

Doctors say the rare disease was likely caused by fumes from the heating coils used in the 49-year-old’s device
The condition creates a distinctive pattern of damage to the lungs that results in breathing difficulties.
It’s typically diagnosed in people who work with ‘hard metals’ like cobalt or tungsten, in jobs like tool sharpening, diamond polishing or making dental prosthetics.
It causes damaged lung cells to engulf other tissue and form ‘giant’ cells that can be seen clearly under a microscope.
This can result in permanent scarring in patients’ lungs with symptoms such as shortness of breath and chronic coughing.
The scarring cannot be cured, although some patients may have mild improvement if the exposure to hard-metal dust stops and they are treated with steroids.
When researchers tested the patient’s e-cigarette they found cobalt in the vapour it released, along with other toxic metals – nickel, aluminium, manganese, lead and chromium.

The CDC announced on Thursday that 2,290 people have fallen ill in every state but Alaska and 47 people have died in 25 states (red) due to mysterious lung illnesses linked to vaping
Previous studies have also uncovered these metals in vapour from other e-cigarettes.
Researchers believe the metals were released from the heating coils in her vaping devices rather than any kind of refill.
Case report author Kirk Jones, clinical professor of pathology at the university, said: ‘Hard-metal pneumoconiosis is diagnosed by looking at a sample of patient’s lung tissue under the microscope.
‘It has a distinctive and unusual appearance that is not observed in other diseases.
‘When we diagnose it, we are looking for occupational exposure to metal dust or vapour, usually cobalt, as a cause.
‘This patient did not have any known exposure to hard metal, so we identified the use of an e-cigarette as a possible cause.’
Dr Rupal Shah, assistant professor of medicine, added: ‘Exposure to cobalt dust is extremely rare outside of a few specific industries.
‘This is the first known case of a metal-induced toxicity in the lung that has followed from vaping and it has resulted in long-term, probably permanent, scarring of the patient’s lungs.
‘We think that only a rare subset of people exposed to cobalt will have this reaction, but the problem is that the inflammation caused by hard metal would not be apparent to people using e-cigarettes until the scarring has become irreversible, as it did with this patient.’
The patient also admitted adding THC, the psychoactive agent in cannabis, to her liquids.
Black market THC products are thought to be the culprit for the vaping epidemic in the US that has seen 47 deaths and more than 2,300 hospitalisations.
Dr Nick Hopkinson, reader in respiratory medicine at Imperial College London, said the higher temperature involved in vaping cannabis oil may have triggered the illness.
Commenting on the study, he said: ‘Following on from the outbreak of lung disease in the US that has been linked to vaping cannabis oil, this case provides further reason to avoid it.
‘The higher temperature involved in vaping cannabis oil compared to normal products may increase the risk that metal from the heating element is inhaled.
‘People who are vaping in the UK should only use products regulated by the MHRA. Although vaping is much safer than smoking cigarettes, people who do vape should try to quit that too in the long term – but not at the expense of going back to smoking.’